Why do so many people need their teeth straightened?  Why do some need to have permanent teeth extracted in addition to their wisdom teeth because their arches can not house a natural amount of teeth?  Why do teeth become crooked again after having them straightened?  If these occurrences were an exception to the rule, not asking the questions would be understandable.  Unfortunately, this is not an exception.  

 

 

 

 

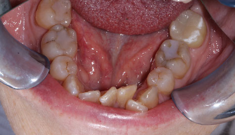
The photo above is an example of a severely undergrown arch in an adult.  This patient had 4 (permanent) premolars extracted, 4 wisdom teeth extracted  and orthodontic treatment in her youth to treat her severe crowding.  40 years later, this is what her teeth look like.  

 

 

Studies of preindustrial skulls have shown us that historical societies have virtually no crowded teeth.  They comfortably house all 32 adult teeth within them (that includes the wisdom teeth).  Studies show that the change from naturally large, straight arches to smaller, crowded ones can occur within as little as a generation.  This data suggests that jaw development and crowding is highly driven by environment and to a lesser degree by genetics.  

 

The word "airway" has started appearing with high frequency in dentistry in the last 5-10 years.  The American Dental Association as made recommendations to the dental community to start screening patients for disordered breathing as signs of these problems are often evident in the dentition.  The "airway" is getting more attention lately as we are seeing an increase rate of sleep apnea in adults and children. 

 

The upper airway is a complex and dynamic space above the palate and in the back of the mouth.  It is housed by the bony, maxillofacial complex and incorporates the nasal airspace, the space behind the nose and the mouth, back of the tongue and into the throat where tissues are subject to collapse and constrict.  The lower airway is housed by a rigid structure not subject to collapse.  The upper airway is typically the culprit in obstructive airway disorders. Like many things in the human body, this topic is not simple nor straightforward.  There are many factors in determining the size and collapsibility of the upper airway and often times multiple approaches are required to manage upper airway constrictions.  

 

The goal of the dental community is to evaluate and treat the part of the upper airway that we can effectively impact.  This puts us in charge of the skeletal structure that houses and supports the upper airway. 

 

A small and constricted skeletal structure (meaning narrow and undergrown arches) has been shown to be detrimental to the upper airway.  Airflow through narrowed spaces creates negative pressure pulling in tissues, creating turbulent airflow and constrictions.  This is demonstrated through heavy breathing, snoring and pauses in breathing during sleep. 

 

In a growing child, we aim to maximize the individual's growth potential and spread out the tissues of the airway by optimizing the space they grow into.  This treatment includes:

-Making sure that the palate, which is the floor of the nasal cavity, is wide.  This provides for greater volume in the nasal airspace and promotes nasal breathing. 

-The upper and lower jaws are guided to grow forward.

-As the lower jaw moves forward, it opens up the airway in the back of the throat bringing forward the back of the tongue. 

-As the upper jaw is guided to grow forward and widened, the tongue has space to spread out over the palate and is out of the airway during sleep. 

 

Enlarged soft tissues such as tonsils, adenoids, and chronic sinusitis restricts nasal breathing and restricts growth of the jaws.  Restricted growth of the jaws results in a smaller skeletal scaffold of the upper airway, resulting in mouth breathing and increased inflammation of the oral and immune tissues.  Once the cycle starts, the symptoms perpetuate the problem from both angles.   This is why the removal of tonsils and adenoids alone is rarely the only treatment necessary to resolve sleep disordered breathing.  A team approach will address the skeletal growth and the soft tissue obstructions in this multifactorial disease.  We work as one part in a community of providers including ENTs, sleep physicians, surgeons and therapists to diagnose and address the unique factors that contribute to each patient's disease.

 

The claim is not that we will expand and grow our way out of an airway problem in every child.  We will contribute the piece of the puzzle that is ours to contribute which brings along with it benefits of large dental arches, straight teeth with minimal orthodontic and surgical interventions down the road, fuller facial profiles, improved oral health, as well as systemic health- referring to the many benefits of nasal breathing.

 

In adults, continuous positive airway pressure (CPAP) type devices are the standard treatment for anyone with obstructive sleep apnea.  For some patients with mild sleep apnea a mandibular advancement device (MAD) can be used to bring the lower jaw forward during sleep.  It is an appliance that is worn in the mouth and opens the airspace in the back of the throat. If a patient does not qualify for an MAD and is CPAP intolerant, surgery is employed to modify the skeletal structure that houses the airway.  Based on a patient's unique obstruction, treatments to avoid using a CPAP include surgically splitting the palate to widen it thus widening the floor of the nasal airspace for better nasal breathing.  Surgically repositioning both upper and lower jaws forward for the benefit of opening up the space in the back of the throat for more optimal airflow.   Other procedures include removing soft tissues from the soft palate, tonsils, adenoids, or back of the tongue.   A nerve stimulator that pushes the tongue forward during sleep in order to keep the airway patent is also employed to keep the airway open during sleep.  

 

Other than CPAP, the adult treatments for obstructive sleep apnea are equivalent to the growth patterns that we employ in the young growing patient.

 

As a team, the dental, sleep, ENT, SLP and myofunctional therapy community is needed to collectively do their part in diagnosis and treatment of the various factors that contribute to the epidemic of sleep disordered breathing.

 

You can see case examples of Bosma Dental's airway focused expansion in the growing child under the Pediatrics tab.